Chúng ta đang sống trong một xã hội mà nhu cầu về thẩm mỹ ngày càng cao. Người ta thường nói “cái răng cái tóc là cái góc con người”, chính vì vậy chúng ta phải có một hàm răng đẹp và đều thì sức khỏe và vẻ ngoài mới hoàn thiện được.
Phương pháp niềng răng chỉnh nha là phương pháp tốt nhất để giúp bạn có được một hàm răng đều, đẹp và có thể tự tin giao tiếp trong cuộc sống hàng ngày.

Niềng răng là gì?
Niềng răng chỉnh nha là một trong những thuật ngữ được sử dụng rộng rãi trong nha khoa. Niềng răng giúp chúng ta dịch chuyển răng về vị trí mong muốn bằng cách dùng lực siết hoặc kéo của khí cụ nha khoa có tính chất chuyên dụng, mang lại cho bạn một hàm răng cân đối và đều đặn.
Phương pháp niềng răng đòi hỏi nha sĩ phải am hiểu sâu sắc về sự phát triển và tăng trưởng của hệ thống sọ mặt, các kiểu sai lệch về hình thái của răng và xương hàm cũng như hiểu biết được tác động cơ học của từng loại khí cụ mới có thể vận dụng một cách linh hoạt, chính xác và đem lại hiệu quả tối ưu nhất.
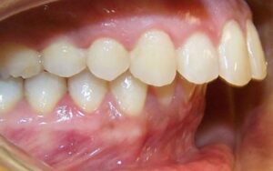
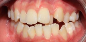
Các tình trạng cần niềng răng:
1. Răng bị Hô: Đây là tình trạng răng hàm trên chìa ra quá mức so với răng hàm dưới.

(Hình ảnh răng hô)
2. Răng bị móm: Đầy là tình trạng răng hàm trên nằm thụt vào trong so với răng hàm dưới, còn được gọi là tình trạng khớp cắn ngược.

(Hình ảnh Răng móm)
3. Răng khấp khểnh: Đây là tình trạng rối loạn khớp cắn, đặc điểm nhận biết răng khấp khểnh là khi một răng hoặc một nhóm răng mọc lệch ra khỏi vị trí trên khung hàm, có thể thụt vào hoặc chồng chéo lên nhau.

(Hình ảnh răng Khập khểnh)
4. Răng thưa: Đây là tình trạng sau khi đã đủ răng vĩnh viễn nhưng khoảng cách giữa các răng quá lớn tạo ra khe hở.

(Hình ảnh răng thưa)
5. Răng sai lệch khớp cắn: Đây là tình trạng lệch tâm của răng hàm trên và răng hàm dưới hoặc hai hàm trên và dưới không khít với nhau, các răng trên khung hàm mọc lệch lạc không thẳng hàng với nhau. Đây cũng chính là nguyên nhân gây mất thẩm mỹ khuôn mặt và khó khăn trong việc ăn nhai và phát âm.

(Hình ảnh răng sai lệch khớp cắn)
Lợi ích của việc niềng răng là gì?
Khuôn mặt của bạn sẽ trở nên đẹp hơn: Sau khi niềng răng, khuôn răng của người được niềng răng sẽ đều đặn và thẳng hàng hơn. Do đó khuôn mặt của bạn sẽ cân đối hơn và nụ cười cũng thêm phần cuốn hút, tự tin.
Khôi phục chức năng ăn nhai: Niềng răng giúp tái tạo các khớp cắn theo tỉ lệ chuẩn, vì vậy chức năng ăn nhai cũng được cải thiện theo. Khi ăn nhai với khớp cắn đúng sẽ giảm áp lực lên quai hàm, tránh được các bệnh lý về khớp thái dương hàm.
Hạn chế các bệnh lý liên quan đến răng miệng: Khi răng trên khung hàm đều đặn và thẳng hàng thì việc vệ sinh răng là điều vô cùng đơn giản và thuận tiện.
Hạn chế các bệnh về tiêu hóa: Khi chức năng ăn nhai được cải thiện, thức ăn đưa vào miệng sẽ được nghiền nát kỹ hơn trước khi đến dạ dày nên hệ tiêu hóa dễ hấp thụ và luôn khỏe mạnh.
Để được tư vấn chi tiết về giá thành niềng răng, bạn hãy liên hệ hotline +84 913 412 568; +84 845 412 568 của nha khoa Tâm Gia Minh – chuyên gia nha khoa của chúng tôi sẽ tư vấn cho bạn cụ thể đến từng chi tiết nhé!
Hoặc Đặt lịch hẹn ngay để được khám và tư vấn miễn phí tại phòng khám của chúng tôi!
