Phòng khám 1: 373 Cửa Đại, Hội An
Phòng khám 2: 08 An Thượng 24, Đà Nẵng
info@tgmdental.net
+84.845 412 568
|
Trang chủ
Về chúng tôi
Đánh giá
Dịch vụ
Chăm sóc phòng ngừa
Nha khoa tổng quát
Nha khoa thẩm mỹ
Bridge, Crown và Răng giả
Niềng răng, Implant
Câu hỏi thường gặp (FAQ)
Bảng giá
Khuyến mãi
Blog
Nha khoa tổng quát
Cấy ghép
Niềng răng / Chỉnh nha
Vương miện
Ván lạng
Tin tức và sự kiện
Tin tức
Tuyển dụng
Chương trình nhân đạo
7
Home
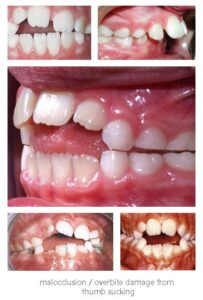
Niềng răng cho con bạn - những dấu hiệu cần lưu ý
7
7
Admin Nha Khoa TGM
2023-07-23T22:41:47+07:00
Trang chủ
Về chúng tôi
Đánh giá
Dịch vụ
Chăm sóc phòng ngừa
Nha khoa tổng quát
Nha khoa thẩm mỹ
Bridge, Crown và Răng giả
Niềng răng, Implant
Câu hỏi thường gặp (FAQ)
Bảng giá
Khuyến mãi
Blog
Nha khoa tổng quát
Cấy ghép
Niềng răng / Chỉnh nha
Vương miện
Ván lạng
Tin tức và sự kiện
Tin tức
Tuyển dụng
Chương trình nhân đạo